在线预约热线:0592-2281966

中西结合•专治皮肤

厦门广肤皮肤病专科

中医传承 中西结合 专科专研专治皮肤

预约电话:0592-2281966

来院地址:

厦门市思明区湖滨中路7-9号第二层B单元

<
>
主页 > 毛囊炎 更 多

治疗毛囊炎去哪个皮肤医院

时间:2023-07-17 浏览:0 发布:厦门广肤皮肤科门诊部

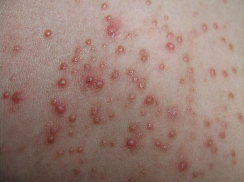
  治疗毛囊炎到哪家皮肤医院?毛囊炎是一种常见的皮肤疾病,通常由细菌感染引起。患者在毛囊周围出现红肿、疼痛、瘙痒等症状。治疗毛囊炎的选择是前往一家专业的皮肤医院。但是,在众多医院中选择一家好的医院并不容易,下面给大家介绍一些挑选医院的标准。<<<在线咨询
 
  首先,医生要有专业性和耐心。毛囊炎是一种需要耐心和细致诊治的疾病,需要医生仔细观察患者的症状,准确判断病情,并制定个性化的治疗方案。在挑选医院时,可以通过查看医生的专业资质和经验,了解医生对毛囊炎的认识和治疗经验。而医生的耐心体现在对患者的耐心倾听和解答疑虑,对病情的详细解释和治疗方案的专业指导。
 
  其次,医疗环境要舒适。医院的环境对患者的治疗的效果和心理健康有着重要影响。舒适的医疗环境可以减轻患者的紧张和焦虑,有助于恢复身心健康。在选择医院时,可以亲自前往医院看看,了解医院的整体环境和设备是否干净整洁,是否有专业的诊室和治疗设备。此外,医院的服务水平是否好也是一个重要的考虑因素,例如医护人员的态度和专业素养等。
 
  此外,收费要公开透明。在选择医院时,很多患者都担心医院的收费问题。因此,在挑选医院时,可以通过医院的官方网站或者咨询窗口了解医院的收费标准和支付方式,以及是否有明确的诊疗费用预估。好的医院应该能够提供明确的价格和细致的费用解释,避免患者因为费用问题而拖延治疗。
 
  综上所述,治疗毛囊炎需要选择一家专业的皮肤医院。选择医院时,要注意医生的专业性和耐心,医疗环境的舒适程度以及收费的公开透明性。这些标准有助于患者挑选到一家适合自己的医院,确保能够获得良好的治疗的效果和服务体验。所以,如果您在厦门想要治疗毛囊炎,选择一家符合上述标准的医院将能够让您安心并获得更好的治疗的效果。

厦门反复毛囊炎怎么办 治疗毛囊炎去哪个皮肤专科